
(图片来源:infobae)
(阿根廷华人网5月3日讯 黄东)据阿根廷媒体报道称,科尔多瓦省日前发现了一例输入性风疹病例;为此,国家卫生政府秘书处于昨天下午发布了流行病学警告,敦促卫生部门加强对发热性疾病的监测,并向人群传授预防知识。
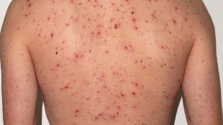
据悉,经国家实验室与ANLIS卫生研究所管理局确认,患者是一名27岁的外国男子,已在科尔多瓦当地生活了3年,今年1月10日前往中国福建地区,于4月9日返回阿根廷。
4月18日,患者开始发烧,第二天出现腺病和鼻粘膜炎。调查发现,患者在中国期间曾接触了一名皮疹患者。在此情况下,当局对接触人员展开调查和控制,并提醒当地卫生部门注意。目前,患者病情好转。
转载本网稿件,原则上需要书面授权,不得篡改稿件主题。本网随时有权要求第三方停止侵权行为。
本网所载内容或图片,若涉及侵权,请联系删除。

微信扫一扫

